Le traitement endovasculaire d’une malformation vasculaire, comme un anévrisme ou une fistule, constitue une véritable prouesse neurochirurgicale. En évitant l’ouverture de la boîte crânienne, cette technique permet une récupération physique globalement beaucoup plus rapide. Toutefois, la période de convalescence n’est pas exempte d’inconfort. Souffrir de maux de tête après une embolisation cérébrale est un motif de consultation d’urgence très récurrent, le patient associant légitimement toute douleur crânienne à une éventuelle rupture de l’anévrisme tout juste traité.
Cette angoisse, bien que parfaitement compréhensible, doit être nuancée par les explications physiologiques de l’intervention. L’introduction de matériel médical étranger (comme des petits ressorts en platine ou des stents) directement au cœur des artères du cerveau provoque une réaction inévitable de l’organisme. Différencier une banale inflammation tissulaire, inhérente au processus de cicatrisation, d’une complication neurologique grave nécessitant un retour immédiat au bloc opératoire, est essentiel. Ce guide médical décrypte les mécanismes de la douleur post-opératoire afin de vous aider à évaluer vos symptômes avec discernement et à adapter votre prise en charge analgésique.
Ce qu’il faut retenir
- 🤕 Une réaction fréquente : L’apparition de céphalées dans les jours ou semaines suivant l’intervention est un phénomène physiologique très courant, connu sous le nom de syndrome post-embolisation.
- 🔥 L’origine inflammatoire : La douleur est causée par la réaction inflammatoire des artères cérébrales face aux corps étrangers introduits (coils, colle biologique ou stent).
- 💊 La gestion médicale : Ces douleurs bénignes sont généralement bien contrôlées par un traitement combinant du paracétamol et de légers corticoïdes prescrits par le neurochirurgien.
- 🚨 L’urgence vitale : Un mal de tête décrit comme un « coup de tonnerre », brutal, explosif, ou accompagné de vomissements et de perte de vision, exige d’appeler immédiatement le 15 (SAMU).
Le syndrome post-embolisation : Une inflammation mécanique
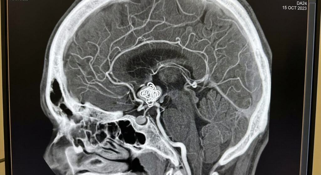
La technique de l’embolisation consiste à naviguer à l’intérieur des vaisseaux sanguins depuis l’aine ou le poignet, pour aller déposer des spirales (coils) ou de la colle spéciale directement dans l’anévrisme cérébral afin de le boucher. Bien qu’aucune incision ne soit réalisée sur la tête, le cerveau subit un stress interne important.
Dès que ce matériel étranger est déployé, le système immunitaire du patient réagit. La paroi de l’artère traitée s’enflamme, gonfle légèrement et libère des médiateurs chimiques responsables de la douleur. Ce phénomène clinique est appelé le « syndrome post-embolisation ». Il se caractérise par des maux de tête pulsatiles ou une sensation de lourdeur globale, parfois accompagnés d’une petite fièvre (autour de 38°C) et d’une fatigue intense. Ces céphalées inflammatoires atteignent généralement leur pic d’intensité entre le 3ème et le 7ème jour après la chirurgie, avant de diminuer très progressivement au fil des semaines, le temps que l’endothélium (la paroi du vaisseau) cicatrise autour des implants.

Distinguer la céphalée de cicatrisation de la complication majeure
Toute la difficulté pour le patient de retour à domicile réside dans l’analyse de son propre ressenti. Une douleur post-opératoire classique est diffuse, supportable bien que gênante, et répond favorablement aux médicaments antalgiques qui vous ont été remis lors de votre sortie de l’hôpital.
À l’inverse, l’embolisation cérébrale comporte des risques rares mais sévères, comme le vasospasme (rétrécissement brutal de l’artère), une petite hémorragie méningée ou la formation d’un caillot (accident vasculaire cérébral ischémique). Ces complications neurologiques ne génèrent pas une simple migraine. Elles se manifestent par une douleur fulgurante, d’apparition explosive en quelques secondes (souvent qualifiée de « pire mal de tête de sa vie »). Ce type de douleur extrême, surtout s’il est associé à une raideur de la nuque, une difficulté à parler (aphasie), une paralysie d’un membre ou des troubles visuels brusques, signe une urgence absolue. Il ne faut prendre aucun médicament et composer le numéro des urgences sans la moindre hésitation.
Tableau : Évaluer la gravité de ses maux de tête
| Caractéristiques de la douleur | Symptômes neurologiques associés | Conduite à tenir recommandée |
|---|---|---|
| Lourdeur, élancements diffus calmés par les médicaments. | Légère fièvre, fatigue, nausées légères. | Bénin. Suivre le traitement antalgique prescrit et se reposer. |
| Douleur pulsatile intense qui augmente malgré les comprimés. | Photophobie (gêne à la lumière) modérée. | Contacter le service de neurochirurgie pour un avis. |
| « Coup de tonnerre » brutal, douleur intolérable instantanée. | Difficulté à s’exprimer, visage paralysé, perte de force. | Urgence vitale (Appeler le 15 immédiatement). |
La directive de l’Infirmière de Pratique Avancée en Neurologie
« La gestion de l’anxiété est primordiale à la sortie de l’hôpital. Le patient rentre chez lui avec la peur qu’une ‘bombe’ explose dans sa tête. Je leur explique que le mal de tête chronique du premier mois est la preuve que le corps est en train d’isoler l’anévrisme, c’est un travail de maçonnerie interne. Le repos cognitif est obligatoire : limitez les écrans, les bruits forts et les contrariétés. Ne jouez pas aux héros en refusant les antalgiques. Prenez votre paracétamol à heure fixe, même si la douleur est faible, pour bloquer le signal inflammatoire avant qu’il ne s’installe profondément. »
Préserver son cerveau durant la convalescence
Pour limiter la fréquence et l’intensité des crises migraineuses post-embolisation, une hygiène de vie extrêmement calme doit être adoptée durant les six premières semaines. Toute augmentation brutale de la pression artérielle va irriter les vaisseaux sanguins en cours de cicatrisation. Il est strictement interdit de porter des charges lourdes, de faire des efforts de poussée intenses (y compris lors du transit intestinal) ou de reprendre une activité sportive cardiovasculaire. Les longs trajets en voiture, sources de vibrations et de stress, sont également à proscrire initialement. Enfin, le maintien d’une excellente hydratation (boire au moins 1,5 litre d’eau par jour) permet de fluidifier le sang et de diminuer mécaniquement les spasmes vasculaires générateurs de céphalées au niveau du crâne.
Foire Aux Questions (FAQ)
💊 Puis-je prendre de l’ibuprofène ou de l’aspirine pour calmer la douleur ?
Sauf avis contraire explicite et écrit de votre neurochirurgien, l’aspirine et les anti-inflammatoires non stéroïdiens (comme l’ibuprofène ou le kétoprofène) sont formellement contre-indiqués après une chirurgie vasculaire cérébrale. Ces molécules fluidifient le sang et augmentent considérablement le risque d’hémorragie interne. La gestion de la douleur doit se faire exclusivement avec du paracétamol ou les antalgiques de palier 2 (type Tramadol ou corticoïdes) qui vous ont été spécifiquement prescrits sur votre ordonnance de sortie.
⏳ Combien de temps ces maux de tête peuvent-ils persister ?
L’évolution de la douleur est très variable selon les individus et la complexité de l’anévrisme traité. En moyenne, les céphalées inflammatoires sont quotidiennes durant les 15 premiers jours. Elles s’espacent ensuite pour devenir occasionnelles, sous forme de « pics » lors d’efforts ou de fatigue. Il est courant de ressentir une sensibilité résiduelle ou une fatigabilité crânienne pendant une durée de 3 à 6 mois post-intervention, le temps que le remodelage vasculaire interne soit total.
✈️ Y a-t-il un lien entre les changements de météo et mes maux de tête ?
Oui, c’est une observation fréquente. Le réseau vasculaire cérébral nouvellement traité est extrêmement sensible aux variations de la pression atmosphérique (effet barométrique). De nombreux patients constatent une recrudescence de leurs maux de tête à l’approche d’un orage ou lors d’un changement brusque de température. De la même manière, les voyages en avion (changement de pression en cabine) sont généralement interdits pendant les 3 à 4 semaines suivant une embolisation pour éviter toute perturbation hémodynamique.







